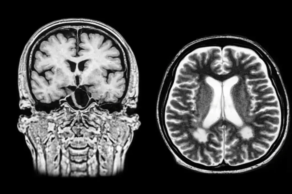
Nova análise indica que Aubagio pode retardar atrofia cerebral na EMRR
Uma nova análise de dados do estudo clínico de fase III TEMSO sugere que o tratamento com Aubagio (teriflunomida) pode desacelerar de forma significativa a atrofia cerebral em pessoas com esclerose múltipla remitente recorrente (EMRR). A perda de volume cerebral é considerada um marcador importante da progressão da doença e está associada ao declínio neurológico […]


